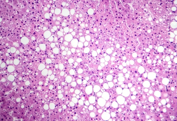
Prise en charge de la maladie hépatique stéatosique associée à un dysfonctionnement métabolique (MASLD) en première ligne de soins

Depuis une révision récente de la nomenclature, la stéatose hépatique prenant naissance dans un contexte d’obésité, de diabète de type 2 ou d’autres facteurs de risque cardiométabolique est appelée maladie hépatique stéatosique associée à un dysfonctionnement métabolique...

Vous souhaitez continuer à lire cet article ?

L'accès à la totalité de l'article est réservé aux professionnels de la santé.

Si vous êtes un professionnel de la santé vous devez vous connecter ou vous inscrire gratuitement sur notre site pour accéder à la totalité de notre contenu.
Si vous êtes journaliste ou si vous souhaitez nous informer écrivez-nous à redaction@rmnet.be.